静岡の歯周病専門医による治療 | 重度歯周病治療

ロゴ

tel.054-251-4151

重度歯周病治療・再生療法

他医院で抜歯と診断された歯も、
残せる可能性が
あります。

歯周病でグラグラになった歯でも
残したいという方へ・・・

歯周病

溶けた骨を再生させる
「再生療法:エムドゲイン法」

歯周病になると、歯を支えていた骨が吸収されて、歯がぐらぐらになってきます。よく、歯ぐきが痩せるなどといわれていますね。

日本では、エムドゲインゲルというゲル状の歯周組織再生誘導材料が厚生労働省の承認を得ています。

エムドゲイン

エムドゲインゲルは、 スウェーデンのBIORA社が歯役割を果たの発生期に重要なすタンパク質に着眼して開発した歯科用医療機器です。

歯周炎の治療を目的とした歯周外科手術の際に、歯根面にエムドゲインゲルを塗布して用います。

再生療法の流れ

検査・問診

検査・問診

歯周組織の状態を調べるために、歯周ポケットの深さを計はかったり、レントゲンを撮ったり、その他治療に必要な検査を行います。検査に基いてエムドゲイン手術が可能か診断します。

エムドゲインゲルを使った治療が行えるかどうかは、歯周病の程度や患者さんの健康状態によっても異なります。

問診の際には、歯とは関係が無いと思っても、今かかっている病気や既往症、飲んでいる薬など詳しくお話しください。

健康保険診療の適応外の治療です、不安なことや疑問を残さず担当医とよく相談して治療方針を決定しましょう。

※ 喫煙者・糖尿病の方については、エムドゲイン手術はできません。

歯周外科手術

歯周外科手術

手術は麻酔をかけて行います。まず最初に治療する部分の歯肉を切開し、剥離します。

次に歯根の表面を徹底的に清掃し、歯石や汚れがない状態にし、エムドゲインゲルを塗布します。最後に切開した歯肉部分を縫合し、手術は終了です。

手術にかかる時間は約1時間前後で、手術後、しばらく休んでいただいた後は帰宅できます。抜糸は手術日から2〜6週間後に行います。

手術の流れ

  • 手術の流れ

    歯肉を剥離

    麻酔をしますので、痛みはありません。感染した組織を徹底的に除去します。

  • エムドゲイン塗布

    エムドゲイン塗布

    再生を促すお薬を丁寧に歯の根面に塗布します。

  • 歯肉を結合

    歯肉を縫合

    最後は、縫合して終わります。抗生剤と鎮痛剤を処方しますので、指示通り服用してください

手術後の注意点

  • 手術創は速かに治癒しますが、手術部分の歯みがき等は担当医の指示に従って下さい。
  • 指や舌で手術部分を触さわらないで下さい。
  • 手術後の感染を防ぐために、術後3 〜6週間は、消毒薬で口の中をよく洗浄するようにします。
  • 抗生物質が処方された場合は、担当医の指示に従って服用して下さい。

定期的な受診について

定期的な受診

機能的な歯周組織を取り戻すまでには、数ヵ月から1年程度かかります。

歯周組織が再生する期間、および程度は個人差があり、歯周病の進行具合によっても異なります。 術後のスケジュールの詳細も患者さんによって異なりますので、担当医の指示に従い、必ず定期的な検査を受けるようにして下さい。

治療が終了した後も、口の中の衛生状態を担当医に定期的に検査してもらうことをおすすめします。

治療例

治療例1

症例

術前

歯周病により、歯を支える骨が溶けて歯がグラグラになっています。

症例

術後1年後

再生療法を行って1年後の状態です。溶けた歯槽骨はかなり再生しています。

症例

抜歯と言われた歯も再生療法を行うことで長期的に歯を維持することができます。

重度歯周病治療
(再生療法)
溶けた骨を再生させる治療法です。
副作用(リスク)手術をすることで、腫れ、痛みを伴う場合があります。また、歯ぐきが引き締まってくるため、被せ物と歯ぐきの段差が目立つことがあります。
費用 1ブロック※につき126,000円(税別)
メンテナンス:1回につき5,000円(税別)
※上下3ブロックずつに分けて治療します。詳しくはお問い合わせください。

治療例2

症例

術前

症例

重度の歯周病で歯を支える骨が吸収し、歯がグラグラの状態です。

症例

小矯正+エムドゲイン法

小矯正によって歯並びを調整し、エムドゲイン法を施しました。

症例
症例
症例

初診時

初診時には歯を支える骨がほとんどなかったのが、エムドゲイン法により大きく骨再生に成功しました。

症例

初診から1年経過

重度歯周病治療
(再生療法)
溶けた骨を再生させる治療法です。
副作用(リスク)手術をすることで、腫れ、痛みを伴う場合があります。また、歯ぐきが引き締まってくるため、被せ物と歯ぐきの段差が目立つことがあります。
費用 1ブロック※につき126,000円(税別)
メンテナンス:1回につき5,000円(税別)
※上下3ブロックずつに分けて治療します。詳しくはお問い合わせください。

治療例3

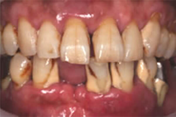
他院で定期検診を受けていましたが、近い将来入れ⻭になることを言われ不安になり、当院に来られました。全体的に⻭周病は重度に進行し、⻭の動揺や⻭の病的移動を認め⻭並びが悪く、うまく咬めていませんでした。

治療前

症例

治療後

症例
初診時の状態
(口腔内写真とデンタルX線)
症例 症例

全体的に⻭茎は腫れ、⻭を支える骨がかなり溶けて⻭茎も下がっています。重度に⻭周病が進行すると⻭が病的移動を起こし、⻭並びも悪くなり噛み合わせに異常が生じています。

⻭周外科治療
(⻭周基本治療終了後)

⻭周外科治療時には、⻭の根面の感染源を除去し、骨の再生が期待できる部位には再生療法を行なっていきます。

症例
メインテナンス時の状態
(口腔機能回復治療後)

全体的に⻭茎の炎症は改善し、かみ合わせも正常に回復することができました。審美性も最初より改善することで口元も若々しくなりました。⻭を支える骨の状態も改善し安定しています。

症例 症例
重度歯周病治療
(再生療法)
溶けた骨を再生させる治療法です。
副作用(リスク)手術をすることで、腫れ、痛みを伴う場合があります。また、歯ぐきが引き締まってくるため、被せ物と歯ぐきの段差が目立つことがあります。
費用 1ブロック※につき126,000円(税別)
メンテナンス:1回につき5,000円(税別)
※上下3ブロックずつに分けて治療します。詳しくはお問い合わせください。

治療例4

患者さんは他院で定期検診に通院していましたが、右下の奥⻭が動揺し始めて、さらには左上奥⻭や左下の犬⻭も動揺し、なんとか⻭を残したいとの思いから当院に来られました。

治療前

症例

治療後

症例
初診時の状態
(口腔内写真とデンタルX線)
症例 症例

部分的に重度に⻭周病が進行しておりレントゲン診査で左上奥⻭や左下犬⻭は、根尖部まで骨が吸収し右下奥⻭は⻭根⻑の2/3程度まで吸収しています。

⻭周外科治療
(⻭周基本治療終了後)

⻭周外科治療時には、⻭の根面の感染源を除去し、骨の再生が期待できる部位には再生療法を行なっていきます。

症例 症例

再生療法を行なった部位の術前と術後のレントゲンになります。矢印のところで骨の再生が確認できます。

症例 症例
症例 症例

再生療法を行なった部位の術前と術後のレントゲンになります。矢印のところで骨の再生が確認できます。

症例 症例

再生療法を行なった部位の術前と術後のレントゲンになります。矢印のところで骨の再生が確認できます。

症例

メインテナンス時の状態
(口腔機能回復治療後)

全体的に⻭茎の炎症は改善し、再生療法を行なったことで吸収 していた骨がかなり再生し⻭の寿命を延ばすことができました。 今後は今の状態を維持するために徹底したメインテナンスが必要となります。

症例 症例
重度歯周病治療
(再生療法)
溶けた骨を再生させる治療法です。
副作用(リスク)手術をすることで、腫れ、痛みを伴う場合があります。また、歯ぐきが引き締まってくるため、被せ物と歯ぐきの段差が目立つことがあります。
費用 1ブロック※につき126,000円(税別)
メンテナンス:1回につき5,000円(税別)
※上下3ブロックずつに分けて治療します。詳しくはお問い合わせください。

治療例5

患者さんは男性で⻭医者に行くのは数年ぶりということでかなり⻭石も沈着している状態でした。最近になり下の前⻭や右下の奥⻭がグラついてきて食事がしずらくなり当院に来られました。

治療前

症例

治療前

症例
初診時の状態
(口腔内写真とデンタルX線)
症例 症例

右上の奥⻭や下の前⻭は, レントゲン診査で根尖部まで骨 が吸収しており, 保存が厳しい状況です。右下の奥⻭に 至ってはすでに抜けている状態でした。

⻭周基本治療中の⻭肉の変化

治療前

症例

治療後

症例

治療前と比較して治療後の⻭茎の炎症は改善し、⻭茎の色も赤黑色からピンク色へと変化しておりだいぶ引き締まっております。この時点で再評価を行い、外科治療へと移行します。

⻭周外科治療
(⻭周基本治療終了後)

⻭周外科治療時には、⻭の根面の感染源を除去し、骨の再生が期待できる部位には再生療法を行なっていきます。

症例 症例

再生療法を行なった部位の術前と術後のレントゲンになります。矢印のところで骨の再生が確認できます。

症例 症例

再生療法を行なった部位の術前と術後のレントゲンになります。矢印のところで骨の再生が確認できます。

症例 症例

再生療法を行なった部位の術前と術後のレントゲンになります。矢印のところで骨の再生が確認できます。

手術をすることで、腫れ、痛みを伴う場合があります。歯ぐきが引き締まってくるため、被せ物と歯ぐきの段差が目立つことがあります。

メインテナンス時の状態
(口腔機能回復治療後)

全体的に⻭茎の炎症は改善し、再生療法を行なったことで吸収していた骨がかなり再生し、⻭の寿命を延ばすことができました。かみ合わせだけでなく審美性も改善されました。今後は今の状態を維持するために、徹底したメインテナンスが必要となります。

症例 症例
重度歯周病治療
(再生療法)
溶けた骨を再生させる治療法です。
副作用(リスク)手術をすることで、腫れ、痛みを伴う場合があります。また、歯ぐきが引き締まってくるため、被せ物と歯ぐきの段差が目立つことがあります。
費用 1ブロック※につき126,000円(税別)
メンテナンス:1回につき5,000円(税別)
※上下3ブロックずつに分けて治療します。詳しくはお問い合わせください。

治療例6

患者さんは男性で⻭医者に行くのはかなり久しぶりで、最近になり右上の犬⻭の⻭茎が急に腫れてぐらついてきたという理由で当院に来られました。限局型重度慢性⻭周炎でした。

治療前

症例

治療後

症例
初診時の状態
(口腔内写真とデンタルX線)
症例 症例

右上の犬⻭の⻭茎はかなり腫れており⻭周ポケットから排膿していました。レントゲン診査において、右下の一番奥の⻭はすでに抜けてしまっています。右上の犬⻭は根尖部まで骨が吸収しています。

⻭周外科治療
(⻭周基本治療終了後)

⻭周外科治療時には、⻭の根面の感染源を除去し、骨の再生が期待できる部位には再生療法を行っていきます。

症例

再生療法を行った部位の術前と術後のレントゲンになります。矢印のところで骨の再生が確認できます。

症例
メインテナンス時の状態
(口腔機能回復治療後)

治療後、右上の腫れた⻭茎は改善し、隣接する⻭と被せ物で連結することで動揺も改善し、しっかり咬めるようになりました。奥⻭は、初診時は⻭が抜けたままになっていましたので、入れ⻭やブリッジを装着することでしっかりと物が咬めるようになりました。

メンテナンス メンテナンス
重度歯周病治療
(再生療法)
溶けた骨を再生させる治療法です。
副作用(リスク)手術をすることで、腫れ、痛みを伴う場合があります。また、歯ぐきが引き締まってくるため、被せ物と歯ぐきの段差が目立つことがあります。
費用 1ブロック※につき126,000円(税別)
メンテナンス:1回につき5,000円(税別)
※上下3ブロックずつに分けて治療します。詳しくはお問い合わせください。

治療例7

患者さんは右下の前⻭の⻭茎が急に腫れを繰り返し、⻭ブラシをしても改善しないという理由で当院に来られました。

治療前

治療前

治療後

治療後
初診時の状態
(口腔内写真とデンタルX線)
初診時の状態 症例

右下の前⻭の⻭茎が腫れを繰り返し、レントゲン診査でも根尖部まで骨が吸収しています。また下顎の左右臼⻭部も⻭根の半分くらいまで骨が溶けてしまっています。

⻭周外科治療
(⻭周基本治療終了後)

⻭周外科治療時には、⻭の根面の感染源を除去し、骨の再生が期待できる部位には再生療法を行っていきます。

症例
症例 症例

再生療法を行った部位の術前と術後のレントゲンになります。矢印のところで骨の再生が確認できます。

メインテナンス時の状態
(口腔機能回復治療後)

治療後、右下の前⻭の⻭茎の腫れは改善しひきしまっています。現在、メインテナンスを継続していますが腫れも再発することなく安定しています。レントゲン診査においても骨が再生しているのが確認できます。

症例 症例
重度歯周病治療
(再生療法)
溶けた骨を再生させる治療法です。
副作用(リスク)手術をすることで、腫れ、痛みを伴う場合があります。また、歯ぐきが引き締まってくるため、被せ物と歯ぐきの段差が目立つことがあります。
費用 1ブロック※につき126,000円(税別)
メンテナンス:1回につき5,000円(税別)
※上下3ブロックずつに分けて治療します。詳しくはお問い合わせください。

歯周病専門医による
高度な歯周病治療

静岡歯周病治療クリニックは、歯周病専門医(日本歯周病学会)と補綴専門医(日本補綴歯科学会)の両方が在籍する静岡市内唯一の歯科医院で、専門的な治療をおこなっています。歯周病分野については軽度のものから、他医院で抜歯を勧められるような進行した歯周病を再生療法により改善し、歯を保存する治療まで、留学経験のある院長が学んだ世界水準の治療を提供。静岡県内トップクラスの技術と実績があります。

  • 専門医について
  • 原因
  • 診断
  • 治療の流れ
  • 歯周病はうつる?
  • 歯周病と喫煙
  • 喫煙
  • 唾液検査